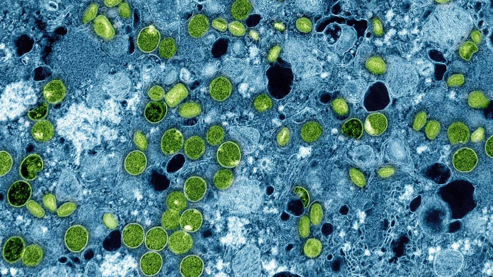
British health officials say they have identified four cases of the new, more infectious version of mpox that first emerged in Congo, marking the first time the variant has caused a cluster of illness outside of Africa
LONDON — British health officials say they have identified four cases of the new, more infectious version of mpox that first emerged in Congo, marking the first time the variant has caused a cluster of illness outside of Africa. Scientists said the risk to the public remains low.
Authorities announced the first case of the new form of mpox in the U.K. last week, saying the case was being treated at a London hospital after recently traveling to countries in Africa with ongoing outbreaks.
This week, the U.K. Health Security Agency said it had now identified three further cases who lived in the same household as the first patient. They too are now being treated at a hospital in London.
“Mpox is very infectious in households with close contact and so it is not unexpected to see further cases within the same household,” said Susan Hopkins, chief medical advisor of the U.K. Health Security Agency.
The new variant of mpox was first detected earlier this year in eastern Congo. Scientists believe it causes milder symptoms that are harder to notice, which makes it easier to spread because people may not know they are infected. Its spread in Congo and elsewhere in Africa prompted the World Health Organization to declare a global emergency in August.
Britain recorded more than 3,000 cases of another type of mpox during a 2022 outbreak that hit more than 100 countries.
The new variant of mpox has also caused outbreaks in Burundi, Kenya, Rwanda and Uganda. Single cases in travelers have also been reported in Sweden, India, Germany and Thailand.
To date, there have been about 43,000 suspect cases of mpox in Africa, including more than 1,000 deaths, mostly in Congo.
On Wednesday, WHO said it had allocated 899,900 vaccine doses to nine African countries struggling with mpox epidemics.
__
The Associated Press Health and Science Department receives support from the Howard Hughes Medical Institute’s Science and Educational Media Group. The AP is solely responsible for all content.


