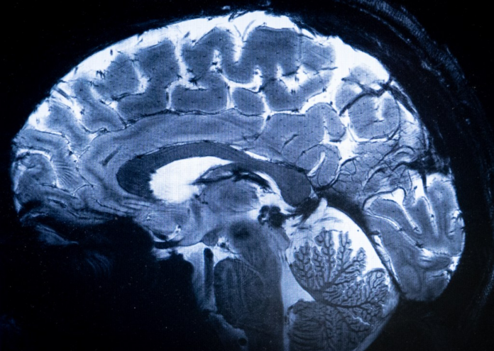
The tragic mass shooting in Manhattan last week has reignited a conversation that demands urgent attention concerning the prevalence of brain injuries and their impact on public health and public safety.
A week ago today, a gunman identified as Shane… [4695 chars]


